Tag Archives: genetics

Episode 53: Laurel Hiatt on What’s Even Happening In Your Colon

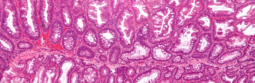
Micrograph of a stain of a portion of secum removed during a colonoscopy.

Image: “Intermediate magnification micrograph of a sessile serrated adenoma, abbreviated SSA, from the cecum removed during a colonoscopy. H&E stain.” (Source: Wikimedia Commons)

Our new episode is available from our Podcast host here: Episode 53

We’re also listed on:

Read more